首頁 -> 國際
世衛組織:不必擔心猴痘會引發全球大流行分享到:
香港中通社5月31日電 當地時間5月30日,世界衛生組織衛生緊急項目天花秘書處負責人羅莎蒙德·劉易斯在公開會議上表示,世衛組織并不擔心猴痘演變為全球疫情,仍有機會遏制疫情暴發。
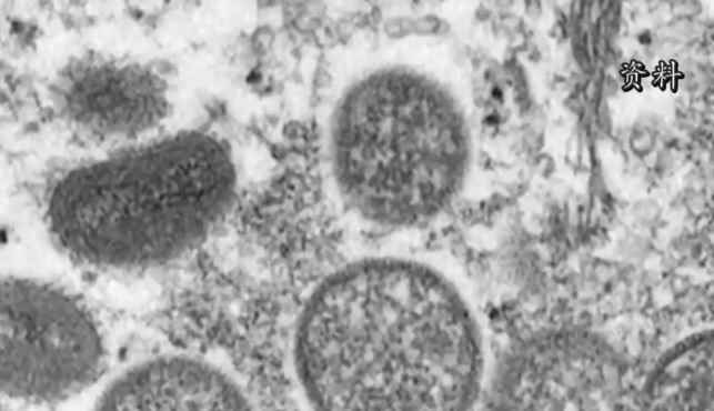
視頻截圖 當被問到猴痘是否能成為類似新冠的全球性大流行病時,劉易斯說:“我們不知道,但我們不這麼認為。”她指出,目前世衛組織沒有這種擔憂。 劉易斯稱,患者感染猴痘後,從其出現皮疹到痂脫落的這段時間被認為是傳染期,但尚不清楚猴痘病毒是否能由無症狀感染者傳播。 劉易斯表示,個體易在高風險暴露的環境下感染猴痘,人們需要了解個人衛生防護知識,建議人們戴口罩、勤洗手,避免與確診或疑似患者發生皮膚接觸。 多位公共衛生官員也表示,猴痘病毒的傳播風險普遍較低,無法與新冠病毒相提并論,公眾無需為此恐慌。 世衛組織30日報告稱,5月13日以來,全球23個非猴痘流行國家共計報告257例猴痘確診病例和120例疑似病例,無死亡報告。其中,美國有14例確診及疑似病例。世衛組織認為,非猴痘流行國家現有猴痘確診病例與猴痘流行國家沒有明確關聯。 猴痘是一種病毒性人畜共患病,猴痘病毒可通過密切接觸由動物傳染給人,雖不易發生人際傳播,但與感染者密切接觸也可能感染。人感染猴痘的初期症狀包括發燒、頭痛、肌肉酸痛、背痛、淋巴結腫大等,之後可發展為面部和身體大範圍皮疹。多數感染者會在幾周內康復,但也有感染者病情嚴重。(完) 【編輯:胡雪石】
|
視頻更 多
【你不知道的香港】香港鬧市中的這座百年古堡竟然是這個用途?!
66歲長者看完即心動!走進香港首個“長者友善”認證樓宇
終可“回家”!香港宏福苑居民分批上樓執拾 有人拿回畫作
50分26秒,超越人類紀錄!第二屆人形機器人半馬的冠軍秘訣是什麼?
潮汕非遺走進香港 10歲英歌舞隊員:想把中國文化帶向世界
2026香港金像獎:梁家輝五封影帝 廖子妤首奪影后
南非隊首奪香港國際七人欖球賽2026冠軍 港隊成功衛冕銀劍賽
來論更 多評論更 多
論壇更 多閱讀排行 |










