澳門出現首宗猴痘確診個案 患者曾有高風險接觸分享到:
香港新聞網9月27日電 澳門出現首宗猴痘確診個案。澳門衛生局表示,29歲的男患者是澳門居民,無業,他從本月16日起,先後出現發燒、淋巴結腫大、皮疹和水泡等病徵,三次到鏡湖醫院就診但未見好轉,星期一再到政府醫院求診,經檢測證實對猴痘病毒呈陽性。
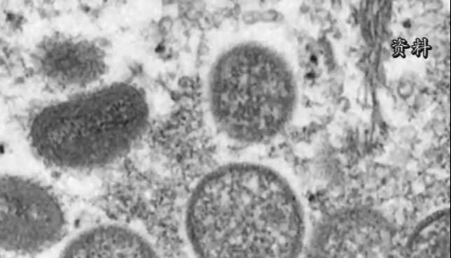
香港中通社資料圖 澳門特區政府衛生局9月26日接獲首宗猴痘病例通報,具體如下: 患者29歲,男性,澳門居民,無業。於9月16日發燒,9月19日出現淋巴結腫大、全身皮疹、水泡等症狀,9月17、18、20日曾到鏡湖醫院就診,症狀未見好轉,9月25日再到仁伯爵綜合醫院急診就診,皮膚膿泡拭子經猴痘病毒核酸檢測結果為陽性,證實為猴痘。目前病情穩定,已住院隔離治療。根據流行病學調查數據,患者於潛伏期內在澳門曾有高風險性行為,也曾到過香港和珠海,聲稱在當地(香港、珠海)及出現症狀後均沒有高風險性行為。患者的其他情況仍在調查中,包括密切接觸者追蹤和溯源。 澳門特區政府衛生局表示,因應鄰近地區近期猴痘病例明顯增加,導致猴痘在澳門傳播風險上昇。為減少傳播風險,作為暴露前的預防措施,9月14日起,可透過衛生局轄下的衛生中心/衛生站預約進行暴露前預防接種,經醫生評價為高風險的澳門居民可免費接種猴痘疫苗,而依法獲準在澳逗留的非澳門居民,若被評價為高風險,則可付費接種;另外,此疫苗接種服務暫不向旅客提供。 衛生局強調,參考世界衛生組織及其他國家或地區的數據,一般人群感染猴痘風險低,沒有進行大規模接種猴痘疫苗的必要,而屬高風險人士,包括與猴痘懷疑或確診病人有密切接觸、具有高風險性行為、或因工作需要接觸猴痘病人的醫護及其他人員,可考慮接種。 自2022年5月以來,猴痘疫情持續在全球多個區域廣泛流行,截至目前,已有113個國家(地區)報告了89000多例猴痘確診病例,包含152例死亡病例。近期,歐洲、美洲和西太平洋區域猴痘疫情呈上昇趨勢。 為防止猴痘疫情傳入中國,保護出入境人員的健康安全,根據《中華人民共和國國境衛生檢疫法》及其實施細則等法律法規,規定: 一、來自猴痘疫情發生國家(地區)的人員,如接觸過猴痘病例或出現發熱、寒戰、頭痛、嗜睡、乏力、背部疼痛、肌痛、淋巴結腫大、面部和身體大範圍皮疹等症狀,入境時應主動向海關申報,海關衛生檢疫人員將按規定程序採取醫學措施並開展採樣檢測。 二、來自猴痘疫情發生國家(地區)且有被污染或有被污染可能的航空器、船舶、集裝箱、貨物,應按規定程序接受衛生處理。(完) 【編輯:紀東】
|
視頻更 多
【你不知道的香港】香港鬧市中的這座百年古堡竟然是這個用途?!
66歲長者看完即心動!走進香港首個“長者友善”認證樓宇
終可“回家”!香港宏福苑居民分批上樓執拾 有人拿回畫作
50分26秒,超越人類紀錄!第二屆人形機器人半馬的冠軍秘訣是什麼?
潮汕非遺走進香港 10歲英歌舞隊員:想把中國文化帶向世界
2026香港金像獎:梁家輝五封影帝 廖子妤首奪影后
南非隊首奪香港國際七人欖球賽2026冠軍 港隊成功衛冕銀劍賽
來論更 多評論更 多
論壇更 多閱讀排行 |










